Composite Veneers Melbourne

Composite Veneers Melbourne

What Are Composite Veneers?

Composite veneers are a cosmetic dental treatment designed to improve the appearance of teeth. They are thin layers of tooth-coloured composite resin applied directly to the surface of your teeth. Cosmetic dentists use these veneers to fix tooth discolouration, chips, or uneven teeth.

The material used for composite veneers is a high-quality resin. This resin is durable, safe, and closely resembles the natural colour of teeth. Our dentist will shape and bond the resin directly to the tooth, sculpting it to achieve the desired look. The result is a smooth, polished finish that blends seamlessly with your natural teeth.

Composite veneers are a cost-effective alternative to porcelain veneers. They are also quicker to apply and can be completed in just one dental visit. These veneers are ideal for patients seeking an affordable way to achieve a complete smile makeover

More About Dental Bonding

Dental bonding is a cosmetic dental procedure used to restore or enhance the appearance of teeth. The dentist applies composite resin materials to the tooth structure to correct minor imperfections, such as cracks, chips, discolouration, and gaps.

 

The process is straightforward and minimally invasive. The dentist starts by preparing the tooth, which may include slight surface roughening. A conditioning liquid is then applied to help the resin adhere securely. The composite resin is carefully moulded and shaped to match the tooth’s natural structure.

 

Once the resin is in place, it is hardened with a special curing light and polished for a smooth finish.

Dental bonding is known for its versatility and affordability. It can be used for both cosmetic enhancements and minor restorative work.

 

Unlike porcelain veneers or dental crowns, bonding typically requires minimal removal of natural tooth enamel. This makes it an ideal choice for patients seeking a conservative and effective solution to improve their smile.

 

With proper oral hygiene and regular dental check-ups, dental bonding results can last several years, making it a practical and effective option for many people.

Benefits of Composite Veneers

Highly Affordable

Composite veneers are more affordable compared to other cosmetic options like porcelain. The cost of composite veneers is usually calculated per tooth, making it easier to budget. This is a smart option at our dental clinic if you want a cosmetic upgrade without breaking the bank.

Done in 1 Appointment

Composite veneers offer a fast and efficient solution. Most cases are completed in just one visit to our dentist in Melbourne. There’s no need to wait for lab work — your smile transformation starts and finishes on the same day.

Solution for Aesthetic Problems

Composite veneers may help mask chips, discolouration, or gaps. They blend in naturally with your existing teeth for a seamless look. This is a simple and effective fix if you're self-conscious about your smile.

Can Be Easily Repaired

One of the best parts of high-quality composite veneer material is that it can be repaired without needing a full replacement. Minor damage or wear can be corrected at the dental clinic, making maintenance convenient and cost-effective.

Minimally Invasive to Tooth Structure

Composite veneers require little to no removal of your existing teeth structure. This means your natural enamel is mostly preserved. It’s a great choice if you're looking for a minimally invasive cosmetic treatment.

High Stain Resistance

At The Veneer Studio, we use only high-end materials that are made to resist common stains. With good oral hygiene, your veneers can stay bright and beautiful for years. This makes them ideal for long-term smile enhancement.

Composite Veneers vs. Porcelain Veneers

Composite veneers are cheaper and can be done in a single appointment, making them a convenient option. However, porcelain veneers last longer as they are more durable and resistant to stains. Porcelain veneers also offer a more natural, translucent finish, while composite veneers are way easier to repair if damaged. The choice depends on your budget, needs, and the desired longevity of your smile enhancement. For more info, you can also check our blog post about the difference between composite and porcelain veneers

Indications of Composite Veneers

Teeth Bonding Melbourne
Our Locations

• Malvern East
1213 Dandenong Road, Malvern East VIC 3145
(Out of MODA Dental)

• Aspendale
130 Nepean Hwy, Aspendale VIC 3195
(Out of Dentology Dental Care)

Call Us

1300 314 473

Email Support

info@theveneerstudio.co.au

Our Composite Bonding Process

Consultation and Assessment

We start with a thorough consultation to understand your goals and evaluate your dental health. During this visit, we will discuss your desired smile outcome and determine if composite veneers are the right option. We also use this step to plan the veneer shape, size, and colour for a natural look that complements your features.

Tooth Preparation and Bonding

In this step, our dentist gently prepares your teeth by cleaning and slightly roughening the surface to ensure a strong bond. A bonding agent is applied to help the composite resin adhere securely. The composite material is then carefully layered, shaped, and sculpted directly onto your teeth to create the desired appearance.

Curing and Finishing



Once the composite is shaped to perfection, we use a special curing light to harden it. Afterwards, the veneers are polished to achieve a smooth and glossy finish that mimics the look of natural teeth. Before you leave, we ensure your veneers feel comfortable and flawless, giving you a bright, confident smile.

Our Composite Veneers Cost in Melbourne

Composite veneers in Melbourne costs anywhere from 400$ to 700$. It depends on the diagnosis and the requirements of the procedure.

 

At The Veneer Studio, we believe everyone deserves a confident smile, which is why we make composite veneers affordable and accessible. Our prices reflect the use of the finest materials, ensuring long-lasting and natural-looking results.

We also offer flexible payment plans to suit your budget, making the process stress-free. Additionally, we assist with claims for all types of insurance to maximise your benefits. With us, you can achieve your dream smile without compromising on quality.

Composite Veneer Cost

from $300

/Tooth

Steps of the Composite Veneer Procedure

1. Check if You're Indicated for Composite Resin Veneers

The first step is a consultation at our dental clinic to assess whether composite veneers are suitable for your needs. We’ll examine your teeth, bite, enamel condition, and overall oral health. Composite veneers are ideal for patients with cosmetic concerns like chips, stains, or gaps — but not every case is the same. If you're a good candidate, we'll explain your options in detail and answer any questions you have. We always tailor the treatment plan to your smile goals.

2. Choose Composite Shade Colour

Once you're ready to go ahead, we’ll help you select the perfect shade for your veneers. We consider your natural tooth colour, facial features, and personal preferences. Our goal is to achieve a result that looks natural and suits your overall appearance. You’re part of this process — we want you to love your new smile. We use high-quality composite shades with lifelike translucency for a seamless blend.

3. Digital Smile Design is Made

Before we begin any work, we plan your new smile digitally. This involves taking photos and measurements to design the ideal shape, size, and position of your veneers. You’ll be able to visualise what your smile could look like before we begin. It’s a great way to ensure everything is aligned with your expectations. We believe in planning with precision, so your result feels just right.

4. Teeth Preparation

In most cases, little to no enamel is removed. We may gently smooth or shape the surface of the teeth to help the composite material bond better. There’s no need for drilling or injections, and the procedure is completely comfortable. The goal is to prepare the teeth just enough to ensure a secure and natural-looking result. We always preserve as much of your natural tooth structure as possible.

5. Dental Composite Bonding Process

Using a direct bonding technique, the dentist carefully applies layers of composite resin to each tooth. The material is sculpted by hand and hardened with a special curing light. This step requires skill and attention to detail to ensure natural contours and a flawless finish. Once all veneers are in place, we polish them for a smooth, glossy look. The result? A stunning, fresh smile you’ll be proud to show off — all in one appointment.

Indirect Composite Veneers Vs. Direct Composite Veneers

Composite veneers come in two types: direct and indirect. Direct composite veneers are applied and sculpted directly on your teeth in a single appointment, making them more affordable and convenient. Indirect composite veneers are crafted outside the mouth, usually in a lab, and then bonded to the teeth — this allows for more control over aesthetics and detail, but typically involves two visits and a slightly higher cost.

Both options use high-quality composite resin, but the choice depends on your smile goals, timeline, and budget. Direct veneers are ideal for quick smile makeovers, while indirect veneers may suit those seeking more precision and polish. Your dentist will help you decide which approach best suits your needs.

Check Out Some of Our Composite Veneers Cases

Treatment performed by Dr David Abdelmalek (Dentist), AHPRA Registration No: DEN0002229612. The results shown here are specific to this individual patients. They will not be the same for everyone, as outcomes can vary depending on a person’s unique dental health and circumstances. These images are unedited and taken under consistent conditions to accurately reflect the outcome of treatment. This post is intended as general information only and should not be relied upon as a substitute for a personalised consultation. We always recommend that individuals seek a professional dental consultation to assess their suitability for treatment, and you are entitled to seek a second opinion from another registered health practitioner before making any decisions about your care.

Composite Veneers Melbourne

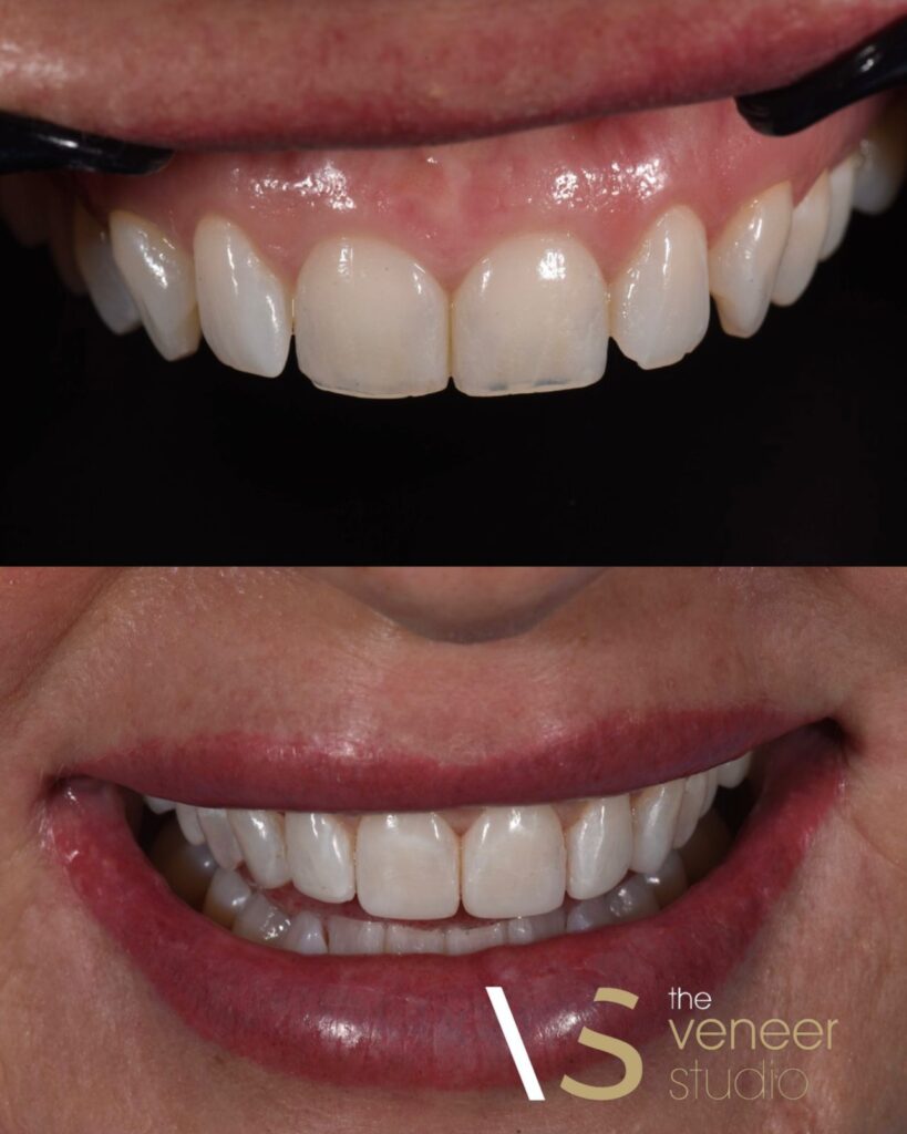
Composite Veneers to Correct Worn Edges and Retroclined Laterals

We were delighted to welcome this patient, who felt self-conscious about the worn edges, uneven shade, and retroclined lateral incisors. The position and angulation of the laterals made the smile look uneven and less harmonious with the rest of the teeth.

After discussing their goals, we recommended composite veneers as a minimally invasive way to enhance both the shape and alignment.

Using a direct bonding technique, we carefully layered and sculpted composite resin to rebuild the worn edges, bring the laterals forward into better alignment, and brighten the overall shade. No drilling or removal of natural enamel was needed.

The entire transformation was completed in a single visit. The result is a brighter, smoother, and more symmetrical smile with laterals that now sit in harmony with the central incisors, creating a natural, confident appearance.

Composite Resin Veneers Melbourne

Restoring Brightness and Hiding Deep Stains with Composite Veneers

This patient came to us concerned about the visible brown staining between their front teeth and the overall dullness of their smile. Even with good oral hygiene, these types of deep surface stains can be stubborn and resistant to whitening alone. They wanted a healthier, fresher look but without any aggressive drilling.

 

After assessing the enamel and gum health, we recommended composite veneers as the most suitable approach. By using a direct bonding technique, we were able to mask the darker discolouration, smooth out the uneven surface texture, and enhance the brightness of the front teeth. Every layer of composite was carefully placed and polished to blend seamlessly with the surrounding dentition.

 

Treatment was completed in a single appointment. The difference is immediate — the staining is no longer visible, the shade is lighter, and the smile appears more uniform and youthful. Most importantly, the result still looks natural, giving the patient confidence to smile again.

Composite Veneers in Melbourne

Composite Veneers for Short Teeth and Uneven Edges

This patient came to us hoping to improve the look of their smile, which was affected by short front teeth, small gaps, and uneven edges. The irregular shapes made the smile appear unbalanced, and the patient wanted a solution that looked natural without the need for drilling or lengthy treatments.

We recommended composite veneers as a minimally invasive way to lengthen the teeth, refine the edges, and close the small spaces. Using a precise layering technique, we built up the composite resin to create more harmonious proportions and a smooth smile line. Each tooth was carefully shaped and polished to achieve a natural finish that blended seamlessly with the patient’s features.

The transformation was completed in just one visit. The end result is a brighter, more even smile with improved length and symmetry, giving the patient the confidence to smile without hesitation.

Composite Veneers for Discoloured and Malaligned Teeth

This patient visited us feeling unhappy with the colour and uneven appearance of their teeth. Years of enamel wear and minor misalignment left the front teeth looking eroded, stained, and irregular.

 

They wanted a brighter, smoother smile that still looked natural and suited their facial features.

 

After a full assessment, we recommended composite veneers as the best solution. Using a careful bonding technique, we rebuilt the eroded enamel, corrected the alignment, and masked the discolouration with a fresh, even shade. Each veneer was shaped and polished with precision to create harmony across the smile line while preserving all healthy tooth structure.

 

The treatment was completed in a single appointment. The final result is a more balanced, whiter smile with restored edges and improved symmetry, giving the patient a healthier, more youthful look and the confidence to smile freely again.

Elevating a Healthy Smile with Composite Veneers

This patient already had a naturally attractive smile but wanted an extra touch of brightness and refinement to feel their best. The goal wasn’t major correction, but rather enhancing the colour, smoothness, and overall harmony so the smile could really stand out.

 

We used composite veneers to subtly lift the shade, refine the edges, and create a polished, luminous finish. By carefully layering and sculpting the material, we added light reflection and balance without altering the natural character of the teeth.

 

The treatment was completed in a single visit. The end result is a brighter, more elegant smile that feels fresh and confident, showing how small enhancements can make a big difference in overall facial aesthetics.

Made At The Veneer Studio
Happy Patients
0 +
Smiles Created
0 +
Google Reviews
0
Years of Experience
0

Check Our Latest Blogs

Book Your Composite Veneer Treatment in Melbourne

Fill in our form for a free consultation today, and book your appointment. Experience the ultimate dental care and affordable composite veneer costs in Melbourne today. Start your smile journey with The Veneer Studio, and rest assured, you will get the best composite veneers in Melbourne.

1300 314 473

info@theveneerstudio.com.au

Book Your Free Cosmetic Dentistry Consult (Valued at $299)

Composite Veneers FAQs

How Long Do Composite Veneers Last?

Composite veneers typically last between 5 to 7 years with proper care. Their lifespan depends on factors like oral hygiene, diet, and habits such as teeth grinding. Regular dental check-ups and avoiding hard or staining foods can help extend their durability.

Yes, composite veneers are considered a good investment for many reasons:

  • They are affordable compared to other cosmetic dentistry options.
  • The procedure is quick and minimally invasive.
  • They effectively fix chips, stains, and uneven teeth, enhancing your smile.
  • If veneers are damaged, repairs are simple. Composite veneers are an excellent option for those seeking a budget-friendly and transformative solution.

No, dental composite does not damage your teeth. The application is minimally invasive and requires little to no enamel removal. It’s designed to protect and enhance your teeth while improving their appearance.

Composite material bonds securely to your teeth, offering a safe and effective cosmetic solution. Proper application by an experienced dentist ensures your natural teeth remain healthy and intact.

  • Composite veneers cannot be whitened like natural teeth. Whitening treatments only work on natural enamel and will not change the colour of the composite material. However, if your veneers become discoloured over time, professional polishing can restore their appearance.

    You may also consider replacing the veneers with a lighter shade for a brighter look. Regular cleaning and avoiding staining foods help maintain their original colour.

Free Consultation Here